Before and after upper and lower all on X with teeth and gums

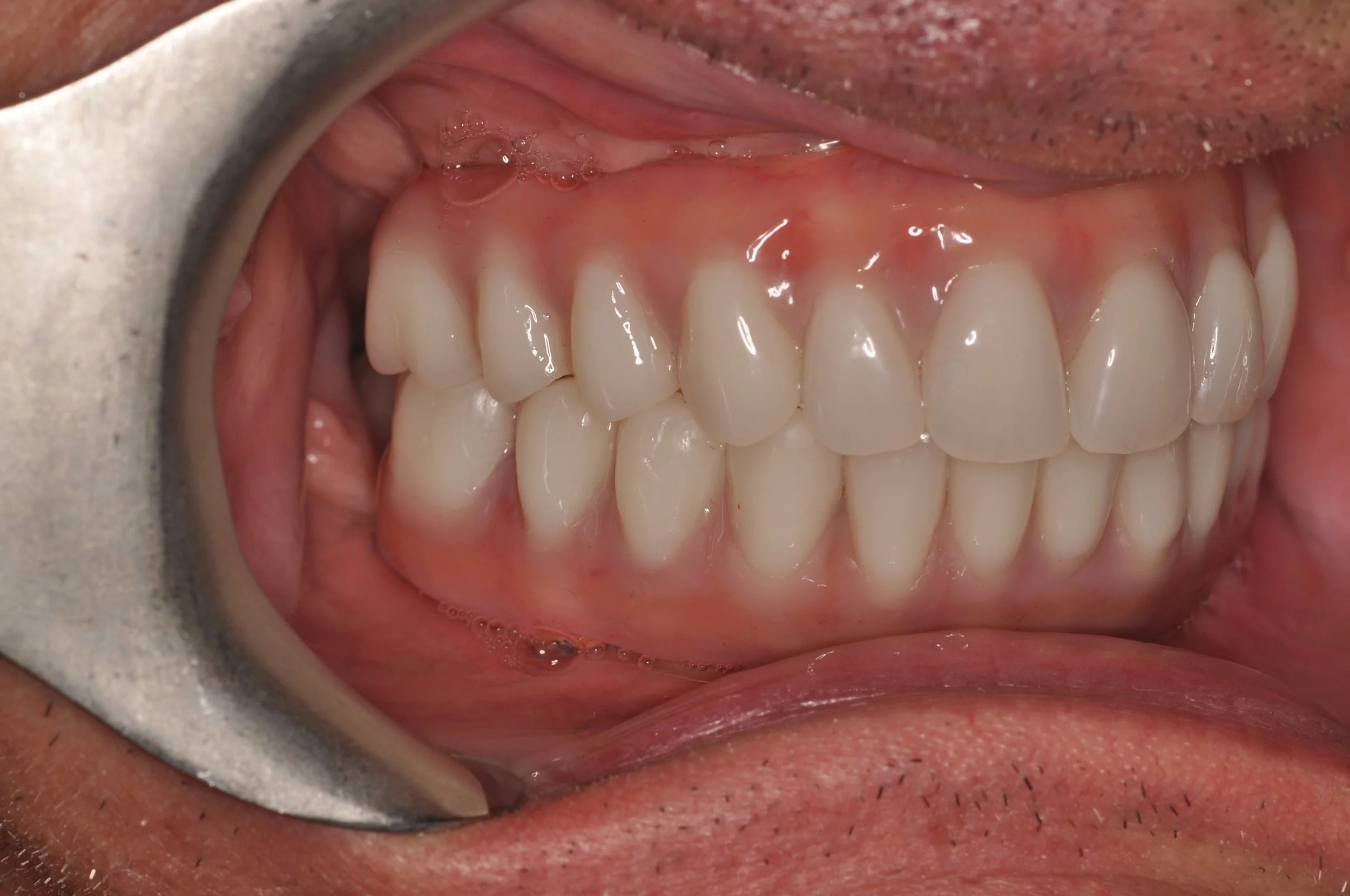
 Before and after upper and lower all on X with teeth and gums